Tratamentul Social Six prezintă o serie de avantaje care îl fac extrem de atrăgător pentru adulţii cu o viaţă profesională sau socială intensă, care îşi doresc să ajungă repede şi cu eforturi minime la rezultatele dorite. Multi oameni sunt nemultumiti de zambetul lor cauzat de pozitia incorecta a unor dinti si nu au nevoie de un tratament ortodontic complex si de durata. Concentrarea doar asupra dintilor frontali poate aduce imbunatatiri considerabile zambetului intr-un timp foarte scurt. Astfel, acest sistem este mai ieftin si mai rapid decat aparatele ortodontice care sunt aplicate asupra intregii arcade si este practic invizibil.
Care sunt Avantajele ?
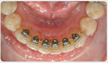
Bracket-urile sistemului Social Six sunt aplicate, pe fata interioara a celor 6 dinti din fata, care sunt vizibili in momentul in care vorbim si zambim. Astfel, acest sistem este mai ieftin si mai rapid decat aparatele ortodontice care sunt aplicate asupra intregii arcade si este practic invizibil.
Aparat Dentar Social Six
Prin aceasta metoda pot fi corectate inghesuiri sau spatieri moderate ale dintilor intr-o perioada scurta de timp – in jur de 16 saptamani. Aparatul pe care il port este invisibil si pentru interlocutori si pentru mine.
Astfel, acest sistem este mai ieftin si mai rapid decat aparatele ortodontice care sunt aplicate asupra intregii arcade si este practic invizibil.
Igiena orala la purtatorii de aparate dentare ortodontice




